top of page

Search


Paradigm Catastrophic Care Management helped more than 20,000 Workers in 2020.
Paradigm’s mission is to help as many people as possible by restoring their health, spirit, and hope for a brighter future. We focus our...

Pam King Sams
Jan 28, 20213 min read
Â
Â
Â


University of Cambridge researcher, Dr. Ben Underwood, talks about Tackling Covid-19.
His expertise in delivering clinical trials became highly prized last year, as he worked on a vaccine trial the whole world was watching....

Pam King Sams
Jan 21, 20213 min read
Â
Â
Â


Malaffi platform using predictive analytics technology to improve the health of Abu Dhabi residents.
The Department of Health – Abu Dhabi (DOH) and Malaffi, the region’s first Health Information Exchange (HIE), today showcased a...

Pam King Sams
Jan 19, 20213 min read
Â
Â
Â


Memorial Hermann Hospital System Earns Top Scores in Patient Safety.
In a safety report released nationally today by The Leapfrog Group, a Washington D.C-based organization aiming to improve health care...

Pam King Sams
Jan 19, 20211 min read
Â
Â
Â


Why We Shouldn’t Be Surprised by Coronavirus Variants.
.Almost one month ago, the first COVID-19 vaccines rolled out across America — a glimmer of hope at the end of a devastating year. As...

Pam King Sams
Jan 18, 20214 min read
Â
Â
Â


Dr. César de la Fuente's work to combat antibiotic-resistant bacteria featured in ACS NANO.
César de la Fuente, PhD, assistant professor at University of Pennsylvania, and his research team's latest work, is featured in the peer...

Pam King Sams
Jan 14, 20211 min read
Â
Â
Â


Memorial Hermann Hospital among first to Administer COVID Vaccine to Frontline Healthcare Workers.
Memorial Hermann Health System received its first shipment of the Pfizer COVID-19 vaccine and immediately began administering the vaccine...

Pam King Sams
Jan 13, 20213 min read
Â
Â
Â


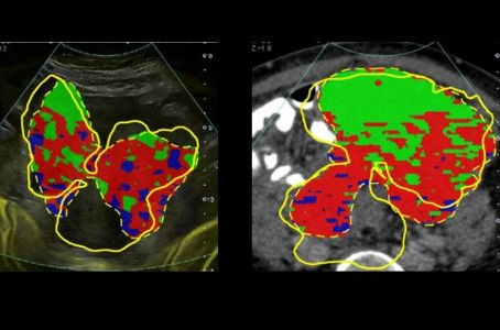
University of Cambridge Scientists' Virtual Biopsies could replace tissue biopsies in future.
A new advanced computing technique using routine medical scans to enable doctors to take fewer, more accurate tumour biopsies, has been...

Pam King Sams
Jan 12, 20213 min read
Â
Â
Â


TIRR Memorial Hermann Opens Pediatric Inpatient Rehabilitation Unit.
TIRR Memorial Hermann Rehabilitation Hospital in Houston recently opened a new pediatric inpatient rehabilitation unit at its Texas...

Pam King Sams
Jan 11, 20211 min read
Â
Â
Â


Penn Medicine Begins Administering First COVID-19 Vaccines.
Penn Medicine’s first COVID-19 vaccinations began Wednesday at Pennsylvania Hospital, marking a historic milestone for the nation’s first...

Pam King Sams
Dec 17, 20201 min read
Â
Â
Â


Penn Medicine Researchers Receive Two Major NIH Grants for Studies of Genome Folding.
Popular accounts of the human genome often depict it as a long string of DNA base pairs, but in reality the genome is separated into...

Pam King Sams
Dec 11, 20204 min read
Â
Â
Â


Vice-Chancellor Professor Stephen J Toope introduces a special focus on COVID-19 research.
By Stephen J Toope, Vice-Chancellor, University of Cambridge To remark that the past year has been unusual is an understatement. Things...

Pam King Sams
Dec 11, 20202 min read
Â
Â
Â


COVID Vaccines: Is the Wait Really Over?
The record turnaround for covid-19 vaccines has years of extraordinary science to thank. MUCH OF the news about vaccines to combat the...

Pam King Sams
Dec 11, 20202 min read
Â
Â
Â


Abu Dhabi residents can book COVID-19 vaccine appointments with Seha.
By Syed Shayaan Bakht, Gulf Today The UAE approved the use of a vaccine produced by Chinese drug giant Sinopharm for COVID-19. The UAE...

Pam King Sams
Dec 11, 20202 min read
Â
Â
Â


Pfizer COVID-19 Vaccine Looks Highly Effective, New Data Indicate.
By Marie McCullough, Stacey Burling, Philadelphis Inquirer If you’re weighing the pros and cons of getting the two-shot vaccine made by...

Pam King Sams
Dec 11, 20204 min read
Â
Â
Â


How the Leading Coronavirus Vaccines Made It to the Finish Line.
The astonishing, 11-month sprint harnessed new technology that will pave the way for other vaccines and breakthrough medical treatments....

Pam King Sams
Dec 11, 202011 min read
Â
Â
Â


COVID-19 Vaccines Can Cause Side Effects. Here’s Why That Shouldn’t Stop You From Getting The Shots.
Headache, joint pain, and fever are signs the vaccines are working. Some people who receive the COVID-19 vaccine will develop side...

Pam King Sams
Dec 11, 20207 min read
Â
Â
Â


Study shows improved workers comp outcomes using Paradigm Catastrophic Care Management.
Paradigm, an industry leader in solving catastrophic and complex health care challenges and improving lives, today announced the results...

Pam King Sams
Dec 3, 20202 min read
Â
Â
Â


Vaccine mRNA Research from Penn Medicine, Moderna, Pfizer vs COVID Huge for Science.
The success of two COVID-19 candidate vaccines marks a turning point in the long history of vaccines and could lead to major advances...

Pam King Sams
Dec 3, 20205 min read
Â
Â
Â


Penn Researchers Named 2020 Fellows of the American Association for the Advancement of Science.
Penn Medicine’s E. Michael Ostap, PhD, and Qi Long, PhD, have been named 2020 Fellows of the American Association for the Advancement of...

Pam King Sams
Dec 3, 20202 min read
Â
Â
Â
bottom of page